Teeth Whitening: Understanding Stains and Discolorations and How to Treat Them
Teeth whitening is a popular solution for a brighter smile. However, stains and discolorations can affect results. At Cedar Ridge Dental in Maple Ridge, we help you understand different types of stains and offer safe whitening options.
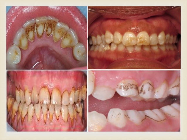
Types of Tooth Stains
Tooth stains fall into two main types: extrinsic and intrinsic. Each type requires different treatment methods for effective whitening.
| Stain Type | Cause | Treatment Options |
|---|---|---|
| Extrinsic Stains | Food, drinks, smoking | Professional in-office whitening |
| Intrinsic Stains | Aging, medication, trauma | Specialized whitening, consult a dentist |
| Age-Related | Enamel thinning over time | Natural teeth whitening, professional care |
Extrinsic stains are often caused by coffee, tea, and tobacco. Intrinsic stains, however, develop from within due to aging, medication, or trauma. Understanding these types helps in choosing the right teeth whitening solution for each patient.
Common Causes of Staining and Discoloration
Certain habits lead to tooth discoloration, making whitening necessary. Here are some of the most common causes:
- Foods and Drinks: Coffee, tea, and red wine can stain enamel.
- Smoking: Tobacco use causes yellow or brown stains.
- Medications: Some antibiotics cause intrinsic discoloration.
- Poor Oral Hygiene: Plaque buildup leads to yellowing.
Knowing these causes allows for better prevention. Regular visits to our Maple Ridge dental clinic help maintain a white smile.
Teeth Whitening Options at Cedar Ridge Dental
At Cedar Ridge Dental, we provide both in-office and at-home whitening options:
- In-Office Whitening: This is a fast, safe way to remove extrinsic stains. Professional guidance ensures effectiveness.
- At-Home Whitening Kits: Suitable for mild discoloration. However, results vary and take longer.
- Natural Teeth Whitening: Baking soda and coconut oil are common natural methods, but effectiveness is limited.
For the best results, our teeth whitening services use advanced products designed for safety and efficiency.
Preventing Future Stains
Preventing stains helps maintain whitening results longer. Here are some simple tips:
- Limit Staining Foods: Reduce intake of coffee, tea, and red wine.
- Brush Regularly: Twice daily brushing helps keep stains away.
- Use a Straw: When drinking dark liquids, a straw can reduce staining.
To discuss more preventive care, request an appointment with our team.
Why Choose Cedar Ridge Dental?
Cedar Ridge Dental in Maple Ridge provides expert guidance on whitening methods. We offer a warranty on treatments to ensure satisfaction and peace of mind. Learn more about our approach by visiting our About Us page.
Schedule Your Teeth Whitening Consultation Today
Ready to enhance your smile? Our friendly team can guide you on the best teeth whitening solution for your needs. Whether you’re interested in in-office whitening or a customized at-home kit, we’re here to help. Schedule your appointment with us today, or explore our services at Cedar Ridge Dental.
For reviews, check out our Google My Business page.
Teeth whitening at Cedar Ridge Dental helps you regain a bright, confident smile!



Leave a Reply
Want to join the discussion?Feel free to contribute!